发布时间:2026-03-26 00:00:00 阅读量:82
随着健康意识的提升与医疗美容知识的普及,越来越多早年注射过奥美定的求美者,开始寻求可靠、干净的取出方案。面对这一正规且复杂的手术,大家较关心的莫过于:技术是否可靠?结果如何因素?以及,费用究竟是多少?本文将为您多方面解析胸部奥美定取出的出色技术、头部医师与透明化费用体系,助您做出明智选择,安心踏上健康修复之旅。

选择奥美定取出手术,首要考虑的是医疗团队的技术实力与临床经验。一位技艺优质的医师,配合靠前的手术技术,是确保高取出率、低损伤并兼顾术后形态美观的关键。
杨庆华医生在奥美定取出领域享有盛誉,其技术特色与成果代表了行业的高标准。
技术优势:
精密可视化操作:采用靠前的 “3D内窥镜结合超声引导” 技术。内窥镜能将手术视野高清放大,让医生在屏幕上清晰分辨奥美定与正常组织;超声则能精密定位深层、隐匿的注射物,实现“指哪打哪”的精密清除。

分层清奥与组织保护:技术核心在于 “分层取出” 。奥美定在体内常呈“树根状”或“蜂窝状”扩散,杨医生通过精细操作,逐层分离、剥离,在较高的效率清除异物的同时,较大程度地保护了血管、神经及健康的乳腺组织与脂肪组织。
同步美学修复理念:手术并非简单“一取了之”,而是 “兼顾组织修复与美学形态的保留” 。在干净清除后,会利用自体组织或靠前生物材料进行必要的腔隙修复与支撑,为乳房形态的修复奠定良好基础。
卓然成果:
凭借其优质稳定的技术,杨庆华医生实现了 高达98%的取出率,积累了 上千例成功的取出实例,赢得了广泛的信任与口碑。他坚持 “本人亲诊亲做” 的原则,从面诊评估到手术实施,全程负责,确保了治疗的一致性与高品质。

广州荔湾人民医院的邓正军医生,是一位深耕奥美定取出领域超过20年的医师,经验极为丰富。
技术优势:
全息六维层离清奥修复术:这是邓医生的核心技术。该技术强调 “定位精密、取出干净、小创口操作” 。通过多维度、多层次的分析与剥离,能够更完整地取出在不同层次和组织间隙中扩散的奥美定。
综合修复能力:该技术可结合 “生物补片进行同步修复” 。生物补片作为一种靠前的修复材料,能引导自体组织再生,为被奥美定侵蚀的软组织提供良好的修复环境,促进修复。
技术的可视化是当前奥美定取出手术的一大趋势,它极大地提升了手术的可靠性与精细度。
黄广香医生(广州中家医家庭医生)采用的 “3D内窥镜下全程可视化剥离技术” ,让手术过程在屏幕上清晰呈现,医生可以避开重要组织,实现毫米级的精细操作,创伤更小,修复更快。
像 北京八大处整形外科医院 这样的国内出色整形机构,则综合运用 “内窥镜定位 + 六维层次剥离 + 显微操作” 等复合技术,代表了国内在复杂异物取出与修复方面的头部水平。

了解技术之后,费用是大家关注的另一核心。如今,比较靠前的医疗机构和医师普遍推行透明化、套餐化的收费模式,让患者消费得清清楚楚。
多家机构提供了清晰的参考价格起点,让您在问询初期就能有一个合理的心理预期:
杨庆华医生:胸部奥美定取出 基础价格6000元起(注:此为起步价,较终费用需根据复杂程度确定)。
深圳地区2025年参考标准:胸部单侧取出 1.5万元起。
广州荔湾人民医院参考区间:大致在 1.8万元至6万元 之间。
这些公开的报价框架,有助于打破信息壁垒,让您在与医生沟通前就对市场行情有所了解。

为了干净解决患者对“后续不断收费”的担忧,以杨庆华医生为代表的医师推出了完善的 “打包价”服务套餐。这种模式根据奥美定扩散的复杂程度(如基础型、中度扩散型、重度复杂型等)设定不同档位的打包价格。
“打包价”通常包含以下所有项目:
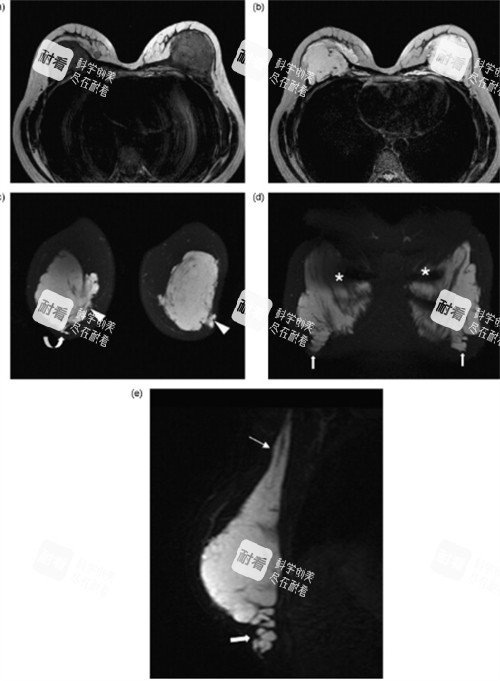
术前精密检查:高分辨率MRI(磁共振)检查,这是精密判断奥美定分布范围、层次与毗邻关系的金标准。
术中可靠因素:正规的全身麻醉服务及术中监护,确保手术过程舒适不痛、生命体征平稳。
核心手术操作:包括奥美定的干净清除、必要时的包膜切除、以及组织的精细修整。
全部医用耗材:手术中所有使用的一次性无菌耗材、修复材料(如生物补片)等。
术后住院护理:术后必要的住院观察、护理、用药及换药服务。
术后复查与药物:包含重要的术后复查节点费用,以及专属的促进修复、防止增生的药物。
例如,一个针对中度扩散情况的“打包价”套餐,可能定价在6.2万元左右。这意味着从入院到改善的关键阶段,您无需再为检查费、药费、材料费等琐碎项目额外付费,总花费清晰锁定,真正做到安心治疗。

市场也提供了灵活的方案组合,以适应不同患者的个性化诉求与预算:
方案A:单纯奥美定取出术。专注于干净清除异物,为组织修复创造纯净环境。适合以健康为首要目标,暂不考虑形态大幅改善的患者。
方案B:取出与修复重建同步术。在干净清奥的同时,利用自体脂肪或生物材料进行即刻的乳房修复与形态重塑。参考价格通常从数万元起。这是一步到位的选择,兼顾健康与美观。
方案C:取出同期假体植入术。对于取出后组织量缺失较多、有明确丰胸意愿的患者,可在严格评估后,同期植入新的假体。参考价格根据假体品牌、手术复杂度不同,在数万至更高区间。
头一步:出色面诊与精密评估。切勿仅凭网络信息自我判断。务必选择有经验的医师进行面对面问询,并通过MRI等正规检查,让医生多方面掌握您的具体情况。
第二步:明确需求与方案确认。与医生深入沟通,明确您的核心诉求是“干净取出”还是“取出并修复形态”,共同确定较适合您的个性化手术方案。
第三步:明晰费用与服务内容。要求医疗机构提供详细的费用清单,确认是否為“打包价”或各项收费明细。问清费用包含的所有项目,避免后续纠纷。
第四步:安心手术与科学修复。信任您选择的医师,配合术前术后医嘱,进行科学的护理与定期复查,以获得较佳的修复结果。
选择胸部奥美定取出,是一次对自己健康与未来负责的重要决定。通过选择拥有出色医师、优质技术和透明收费体系的医疗机构,您不仅能明明白白消费,更能安心地迎接更健康、更美丽的自己。记住,较好的投资是投资自己的健康与可靠。